What is the most likely diagnosis?
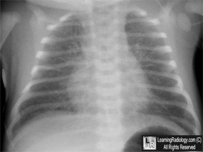
- Term infant at birth with mild respiratory distress

Frontal view of chest at birth
- Hyaline Membrane Disease
- Cystic Fibrosis
- Bronchopulmonary dysplasia
- Transient Tachypnea of the Newborn
- Pulmonary Interstitial Emphysema
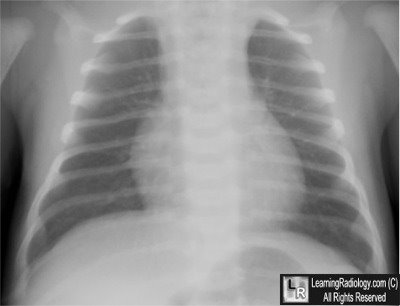
Additional Image-Chest x-ray done 3 days later

Additional Images

3 days after initial chest radiograph

Answer:
4. Transient Tachypnea of the Newborn
More (Click Discussion Tab)
Transient Tachypnea of the Newborn
General Considerations
- Usually full-term or slightly pre-term
- Some delivered by C-section; some precipitous labor
- Mild respiratory distress immediately after birth
- Improve within several hours